ABOUT SIMDA
심 : 일반진료
치경부란 노출된 치아머리와 잇몸 사이에 있는 치아뿌리의 경계입니다.
흔히 치아와 잇몸 사이의 경계라고 표현하기도 합니다.

치경부가 파여있을 경우 치아 내부 신경조직이 노출되어 약한 자극에도 과민하게 반응해 시린증상이 나타나게 됩니다.
쉽게 말해 건축물의 시멘트가 벗겨져 철조물이 드러나는 현상과 비유해보면 좋습니다. 신경이 노출되어 있는 것이기 때문에 잇몸과 신경에 염증이 생길 수 있으니
미리 예방을 하는 것이 가장 중요하고 증상이 나타났을 때 초기에 치료를 하는 것이 좋습니다.
차고 뜨거운 음식물이 닿으면 시리거나 아프고 심지어 찬 공기를 들이 마실때도
비슷한 증상을 느끼게 됩니다.

얼음물을 마시거나 바람이 불면 시린증상이 나타납니다.
손톱으로 만져보면 파인 느낌이 듭니다.

치아가 누런색을 띄며, 한번 파인부분은 더 파이고, 시림증상은 더 심해집니다.

상태를 방치하게 되면 신경이 노출되어 신경치료 후 이를 씌워줘야할 수도 있습니다.

음식을 씹다가 이가 부러져 발치를
할 수도 있습니다.
치질 중 가장 얇고 약한 곳, 치경부!

칫솔질 시 좌, 우 옆으로 오랜 시간 동안 문지르게 되면 치경부가 마모됩니다. 칫솔질은 잇몸 쪽에서 치아 쪽으로 쓸어내리고 쓸어올리듯 하는 것이 좋습니다.

사람들은 각자 다른 교합압을 가지고 있으며 정상보다 큰 힘으로 음식을 씹고 지속적으로 치아가 맞물리게 되면 치경부가 파이고 파절되는 상황에 이르게 됩니다.
그러므로 지나치게 단단하거나 질긴 음식은 피하는 것이 좋습니다.

역류한 위산이나 탄산음료 등의 산에 치아가 노출될 경우 치아가 마모되고 심하면 부식되는 상황에까지 이르게 됩니다.

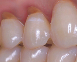
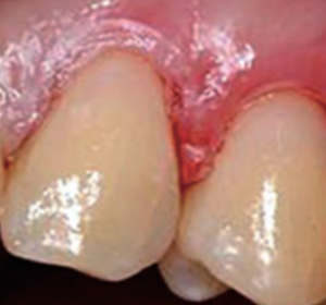
치경부마모증 치료 전

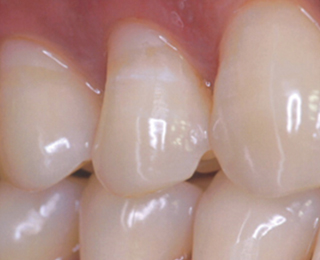
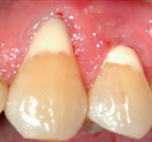
치경부마모증 치료 후
치경부마모증은 치아와 잇몸 사이 경계 부위가 마모되는 증상으로 평소 연마력이 너무 높은 치약을 사용하거나 가로로 거칠게 양치하는 습관이 있는 경우,
씹는 힘이 지나치게 강한 경우 치경부마모 증상이 일어납니다. 레진을 사용할 경우 치아와 흡사한 색으로 티나지 않는 치료가 가능합니다.

마모되고 패이고 파절된 치경부의 면은 거칠어지게 됩니다.
본래 매끈했던 치질과 달리 거칠어진 치질은 치태가 더욱더 잘 달라붙게 됩니다. 치태가 달라붙기 좋은 상태가 된 치아는 치태가 쌓여 충치가 생기기 쉽습니다.

치경부의 마모를 치료하지 않고 방치하게 되면 마모가 계속 진행되어 치경부가 푹 패이게 됩니다. 치경부가 패이며 얇아진 치아는 보통의 치아보다 충격에 약해 부러지기 쉽습니다.
| 구분 | 레진(비보험) | G.I(보험) |
|---|---|---|
| 종류 | ![]() |
![]() |
| 장점 | 심미적이다. 화학적 결합으로 수명이 비교적 길다. 2차 우식 비율이 낮다. |
불소가 함유되어 예방적 효과가 있다. 비용이 저렴하다. |
| 단점 | 넓거나 깊은 충치에는 적용이 안된다. 치료 후 시릴 수 있다. |
2차 우식 발생 비율이 높다. 화학적 결합으로 치료되지 않아 탈락율이 높다. |

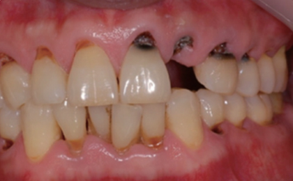
치료 전

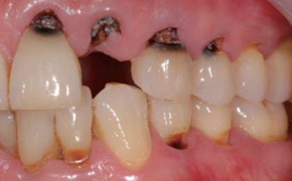
치료 후
치경부마모증 치료 후에도 시려요! 왜죠?

너무 오랜시간 노출되었던 치질 위로 재료를 붙이는 과정중에 신경이 자극을 받아 치료 후에도 통증을 느끼실 수 있습니다.
하지만 이는 일시적인 현상이 대부분이니 걱정하지 않으셔도 됩니다.