ABOUT SIMDA
심 : 일반진료
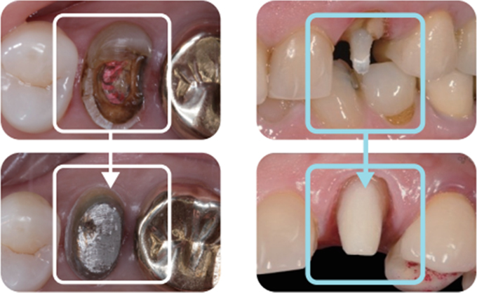
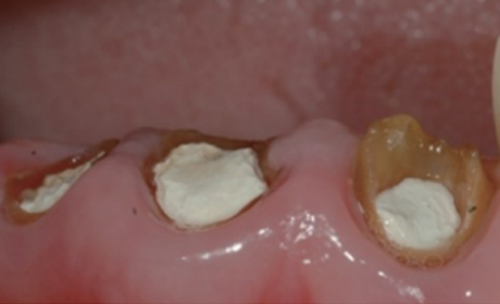
신경치료 후 남아있는 치질이 너무 짧거나 부족한 경우
크라운을 씌우기 전 치아안쪽에 기둥을 세우고 보강해주는 과정이 필요합니다.







포스트의 종류는 두가지가 있는데 사진은 기공소에서 맞춤형으로 제작된 포스트입니다.


치아의 길이가 너무 짧은 경우는 치아의 길이를 늘리는 수술이 필요하기도 합니다.

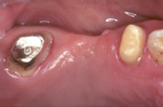
Gold

Zirconia

PFM
치아의 부위, 개수 등에 따라 본인에게 맞는 재료를 추천해 드립니다.
| 구분 | Gold | PFM | Zirconia |
|---|---|---|---|
| 종류 | ![]() |
![]() |
![]() |
| 장점 | 강도가 좋아요! 치아와 적합도가 좋아요! 알레르기 반응이 없어요! |
심미적이에요! 열에 의한 자극이 적어요! |
심미성이 뛰어나요! 강도가 좋아요! 열에 의한 자극이 거의 없어요! 이물감이 없어요! 부식반응이 없어요! |
| 단점 | 열전도율이 높아요! 심미성이 떨어져요! |
깨질 수 있어요! 자연치아보다 어두워보여요! 부식반응이 있을 수 있어요! |
재질이 너무 단단하여 제거가 어려워요! |