ABOUT SIMDA
심 : 교정풍부한 임상 경험과 분과별 전문성을 가진 5인의 분과별 전문의

얼굴을 측면에서 봤을 때 코끝이나 턱끝에 비해 입이 튀어나온 상태를 말합니다.
돌출입으로 인해 뚱해보이는 듯한 인상을 주기도 합니다. 치열, 각도, 골격 등에 따라 치료 방법이 다르기 때문에 정밀진단과 개인의 상태를 고려한 치료가 필요합니다.

이미 교정을 했으나
돌출입 개선이 되지 않은 경우

상대적으로 앞니가 커서
입술을 다물기가 어려운 경우

웃을 때 잇몸이
드러나 보이는 경우

코가 낮아 보이고,
턱이 작아 보이는 경우
돌출되어 있던 입이 들어가면서 상대적으로 코가 높아 보이게 됩니다.
치아의 각도를 세심하게 조절하여 얼굴 윤곽이 자연스럽게 살아납니다.
입을 오므리기 위해 입술에 힘을 줄 때 턱 끝에 주름이 잡히는 현상 개선
팔자주름이 완화되어 인상이 더욱 젊어 보이게 됩니다.
풍부한 임상 경험과 분과별 전문성을 가진 5인의 분과별 전문의

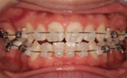
클리피씨 브라켓의 똑딱이가 와이어 고정

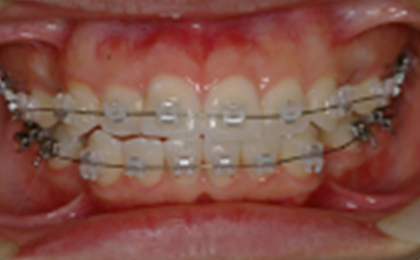
일반 교정 브라켓에 철사를 감아 와이어 고정

토미(Tomy)사 정품 와이어
자가결착 시스템인 클리피씨는 슬라이딩 도어를 사용하여 와이어를 묶지 않아 와이어와 브라켓을 간편하게 결합하는 방식의 특징인 교정장치 입니다.

정품 클리피씨
토미(Tomy)사의 정품 브라켓 사용으로 더욱 믿을 수 있는 클리피씨교정, 심다치과는 토미사의 정품 브라켓과 정품와이어를 사용하여 교정을 진행합니다.

다른 교정 브라켓보다 크기가 작으며, 작은 아이들에게 쉽게 사용할 수 있으며 메탈 특유의 강력한 내구성으로 파손의 위험이 낮습니다. 또한 치아교정 브라켓 중 가장 저렴한 비용으로 교정치료를 할 수 있습니다.

자가결찰 장치와는 다르게 와이어를 이용한 호선결찰방식으로 브라켓과 치아의 이동을 유도하는 교정 와이어를 연결하기 위해 고무링과 같은 추가적인 장치를 함께 사용하는 교정장치 입니다.

자가결찰 장치로 세라믹 브라켓에 자가결찰 장치가 결합된 모습으로 장치를 뚜껑처럼 열고 와이어를 끼어 넣은 후 뚜껑을 닫는 방식으로 진료시간, 교정치료 기간 통증이 줄어든 교정장치 입니다.

치아 교정에 가장 많이 사용되는 재료로 정밀도가 우수하고 음식물의 부착이나 착색이 적어 관리가 용이한 교정장치 입니다.

치아 색상과 흡사한 세라믹 재질의 브라켓을 치아 외부에 부착하는 것으로 기존 메탈 교정 장치에 비해 심미적인 장치입니다.

자가결찰 교정인 클리피씨 교정은 브라켓 자체에 열고 닫는 문짝 형식의 장치가 있어 스스로 와이어를 고정시켜 줄 수 있는 브라켓 입니다.

설측, 순측 교정을 혼합하여 사용하는 교정 방법입니다. 윗니는 보이지 않게 혀 안쪽으로 붙이는 설측교정, 아랫니는 일반 순측 교정장치로 교정하는 방법입니다.

치아의 바깥 면에 부착되는 일반적인 교정장치와 달리 치아의 안쪽면에 교정장치가 부착되어 겉으로 교정장치가 보이지 않는 교정 방법입니다.치아 교정에 가장 많이 사용되는 재료로 정밀도가 우수하고 음식물의 부착이나 착색이 적어 관리가 용이한 교정장치 입니다.


| 구분 | Damon Clear | Clippy-C |
|---|---|---|
| 공통점 | 자가결찰 방식 브라켓 기존 메탈, 세라믹 브라켓에 사용되는 철사가 없어 끊어지거나 찔리는 불편함이 없음 |
|
| 특징 |
- 본체, 뚜껑 세라믹이라서 심미성 UP - 장치가 라운드해 이물감 적음 - 교정기간 단축 및 적은 통증 - 장치 탈락이 적어서 내원횟수 감소 |
- 본체는 세라믹 뚜껑은 메탈이라 심미성 Down - 데이몬에 비해 수가 저렴 |



자가결찰 시스템 클리피씨 교정은 브라켓에 캡 현식으로 달려있는 클립으로 편하게
고정할 수 있어 적은 마찰력으로 꾸준한 힘이 가해져 치아교정기간 단축과 통증을 감소시킬 수 있습니다.

다른 교정 장치에 비해 꾸준한 교정력으로 통증이 감소합니다.
자가결찰장치로 와이어 교체가 간편해 진료시간이 단축됩니다.
치아 색과 유사한 세라믹 장치로 인해 심미성이 우수합니다.
일정한 힘이 지속되어 빠른 치아 이동으로 교정기간이 단축됩니다.



일반적으로 교정치료는 9~14세에 하는게 좋아요.
대부분의 아이들이 9~14세에 안면의 성장이 이루어지기 때문에 이시기에 치열이 결정되며 위턱뼈와 아래턱의 관계를 형성하고, 이후로는 치열이나 위아래 턱뼈의 관계가 크게 변하지 않기 때문이에요.

부정교합인 상태에서는 음식물이 끼기 쉽고, 구강 위생관리(양치질 등)를 잘한다고 해도 이빨이 썩기 쉽고, 썩은 이빨이 평상시에 잘 보이는 경우가 많아서 조기에 치료를 못하는 경우가 많아요.

치아 사이의 음식물이 끼어 있는 상태로 방치하면 세균이 발생하여 잇몸에 염증을 유발하는 등 잇몸질환이 되어서 치아의 뿌리를 건강하지 않은상태로 만들어요.

부정교합인 상태에서는 음식물이 끼기 쉽고, 구강 위생관리(양치질 등)를 잘한다고 해도 이빨이 썩기 쉽고, 썩은 이빨이 평상시에는 잘 안 보이는 경우가 많아서 조기에 치료를 못하는 경우가 많아요.

부정교합은 성장기 아이들이 교우관계를 형성하는 시기에, 아이에게 부정적인 심리적 영향을 줄 수 있다는 연구결과가 많아요.