ABOUT SIMDA
본 : 일반진료RESIN TREATMENT
법랑질 손상

법랑질+상아질 손상

법랑질+상아질+신경 손상

법랑질+상아질+신경+뼈 손상

레진치료는 치아와 가장 비슷한 성질을 가진 레진으로 심하지 않은 초기 충치와 같은 작은 면을 때우거나 채워넣는 방식의 치료 방법으로 넓은 부위에
사용할 시 씹는 힘에 의해 레진이 탈락하거나 파절되기 쉽기 때문에 주로 작은 면에 시행해 손상된 치아의 한 부분을 수복하는 고강도 재료의 일종으로 사용됩니다.

비보험진료로 가격이 비싼편입니다.
치아 색상과 비슷한 색상으로 심미성이
아주 뛰어납니다. 재료의 우수한 밀착력으로
인해 치아 삭제량이 적습니다.
하지만 아말감에 비해 약합니다.

보험진료로 저렴한 편입니다.
레진에 비해 약하고 심미성이 조금
떨어지지만 불소 성분을 가지고 있어
충치예방 효과가 있습니다.

보험진료로 저렴한 편입니다.
수은, 금, 구리 등을 섞은 금속 특유의
합금 재료로 강한 장점이 있지만 치아 착색으로
아말감 주변 치아가 변색될 수 있고
심미성이 좋지 않습니다.

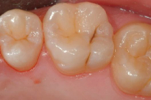
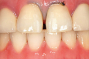
레진 전

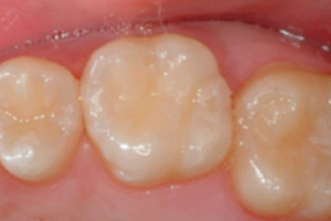
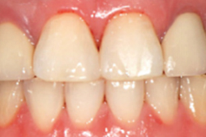
레진 후
당일 치료가 가능합니다.
시술 시간이 짧은 반면에 술식이 어렵기 때문에 치과 의사의 임상경력이 매우 중요합니다.
주로 초기 충치에 시술하며,
작은 부위의 치아를 삭제하기
때문에 자연 치아를 보존하는데
좋은 시술입니다.
치아와 비슷한 성질과 색상을
띄는 레진은 기존치아와의
어울림이 좋아 심미성이
높습니다.
레진은 광중합 시 수축하는
성질이 있어 넓은 부위보다
작은 부위에 시술하기
적합합니다.
법랑질 손상

방치된 충치의 진행속도는
매우 빠릅니다.
법랑질+상아질 손상

단계가 진행될수록 치아 삭제량이
더 많아집니다.
법랑질+상아질+신경 손상

단계가 진행될수록 치료 비용이
더 비싸집니다.
법랑질+상아질+신경+뼈 손상

단계가 진행될수록 치료기간이
더 길어집니다.

레진 전

레진 후

레진 전

레진 후

마취 후 충치를 제거합니다.
충치를 제거한 후 레진치료 가능 여부를 평가합니다.

레진이 잘 접착할 수 있도록 에칭 작업을 한 후 본딩작업을 합니다. 섬세한 작업으로 레진치료에서 아주 중요한 과정입니다.

채료를 치아에 조금씩 충전하면서 광중합을 합니다.
광중합 시 수축해 여러번에 걸쳐 나누어 수복하고 중합하게 됩니다.

수복된 레진의 표면을 매끄럽게 다듬는 과정입니다.
기존 치아의 높이보다 높게 수복되는 부분을 신경써서 다듬습니다.

레진이 치아에 더욱 잘 접착될 수 있도록
매끈한 치아 겉면에 미세한 요철을 만드는 과정입니다.
이 과정으로 일시적인 치아의 시림 증상을 느끼실 수 있습니다.

접착제 도포 과정과 레진 수복 후 과정에서 광중합을 하게 되는데
레진이 수축하게 됩니다. 레진이 수축하며 주변 치질과 치아 신경조직이
함께 수축되어 일시적 시림증상을 느끼실 수 있습니다.
