ABOUT SIMDA
심 : 교정오직 금액만 보시고
치과 선택하실 건가요?
오직 전문의란 이유만으로
선택하실 건가요?
오직 빠른 교정이라는
선택을 하실 건가요?
교정은 많은 변화를 가져와야 합니다.
심미적으로도 기능적으로도
그 선택의 순간에 항상 기준대로 진료하고 진단합니다.
당신의 선택을 응원합니다.

싼 가격으로 환자를 유인해 돈을 모으고,
갑작스럽게 문을 닫아버린 치과 사건을
기억하시나요?
치료는 공산품이 아닙니다.

심다치과는
‘박ㆍ리ㆍ다ㆍ매’ 식 교정치료를
지양합니다.

치과교정과전문의 치의학박사
세계적으로 검증되고 국립대학병원에서 사용하는 우수한 치과교정 재료 인비절라인에 가장 적합한 3D구강스캐너 1인 1가구 사용을 원칙으로 하는 철저한 멸균 및 감염관리 치과교정과전문, 대한치과교정학교인정의 치의학박사의 체계적인 치료계획





3차원 치과 CT 및 Pano.
수완부 촬영을 통해 성장예측까지 진단하여 정밀진단을 시행합니다.


국내 최고의 교정진단 소프트웨어를 통해 정확한 계측 및 예상되는 결과를 제공합니다.




국립부산학교치과병원 치과교정과와 동일한 치료철학을 가지고, 동일한 교정분석법으로
분석하고, 치료계획을 세웁니다.

브라켓(Bracket)은 교정치료 시 치아에 부착하는 사각형의 장치를 말합니다.
교정치료시 가장 중요하고 기본이 되는 장치입니다.
심다치과는 오랜역사를 통해 검증된 제품만을 사용합니다.


국립 부산대학교치과병원 치과교정과와 동일한 재료와 기구, 치료방법을 사용하여 치료합니다.
심다치과에서는 임상적, 학술적으로 충분히 검증된 기구와 재료만을 사용합니다.
심다치과에서는 당연히! 학술적으로 검증된, 전 세계적으로 가장 많이 사용하는 미국 3M Untek사의 교정전문접착레진인 Transbond XT를 사용합니다.
작은 재료 하나도, 눈에 보이지 않는 재료도 가장 좋은 재료만 사용합니다.
브라켓을 치아에 접착 시 사용하는 3M Untek사의 Transbond XT
치면처리 및 접착처리에 사용하는 3M ESPE의 Soctchbond / Ultradent의 Ultra-etch


고성능 광중합기 VALO만이 브라켓의
빛차단을 넘어서 치아 전체를 중합시킬 수 있습니다.
모든 컴포지트 레진을 단단하게 굳히기 위해서는 광중합기가 필요합니다. 교정용 접착 레진을 치아에 부착하기 위해서도 광중합기가 필요합니다.
레진은 재료 특성상, 수분이나 침에 닿으면 물성이 현저히 떨어집니다. 따라서 빠른 중합이 중요합니다.
심다치과에서는 3초 중합기라고 불리는 미국 Ultradent 사의 고성능 광중합기 VALO를 3대 보유, 사용합니다.

교정치료에는 교정용 와이어가 사용됩니다. 와이어를 조작하기 위해서는 전용 플라이어(Plier)라는 교정용 기구도 필요합니다.
심다치과에서는 대학병원에서 사용하는 그대로! 세계적으로 검증된 플라이어만을 사용합니다.
미국 Hu-Friedy사, 독일 Dentaurum사, 일본 Task사의 플라이어를 사용합니다.
보이지 않는 재료와 기구라도 항상 좋은 것만 사용하고자 노력합니다. 플라이어 세트를 구성하여 1인 1세트 사용을 원칙으로 합니다.
교정전문치과인 심다치과 4층 교정진료실은 20~50세트의 기구를 보유하고 있습니다.


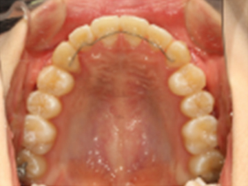
고정식 유지장치를 이용해 교정치료 후 재발을 방지합니다.


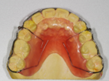
가철식 유지장치를 이용해 교정치료 후 재발을 방지합니다.
교정치료 후 일어나는 약간의 재발은 자연스러운 현상 중 하나입니다.
치아와 턱이 생리적으로 가장 편안한 상태를 찾아가면서 일어나기 때문입니다.
하지만, 힘들게 한 교정치료 결과가 다시 예전으로 돌아가는 것은 막아야겠죠!
심다치과에서는 교정치료 후, 위아래 유지장치를 통해 재발이 최소화되고자 합니다.

심다치과는 입안에서 사용되는 교정장치인 만큼 교정장치(브라켓)와 교정철사(와이어) 모두 토미사 정품재료만을 사용하고 있어 브라켓의 높은 내구성과 성능을 통하여 클리피씨 교정치료 시 브라켓의 깨짐 또는 변색 등 문제를 예방하는 치료는 물론 모든 환자분들에게 정품인증서를 발급해 드리고 있습니다.