ABOUT SIMDA
심 : 라미네이트

치아도 늙는다?
치아에게 젊음을 되돌려주는


보다 견고하고 아름다운 1:1 맞춤 디자인

이맥스 라미네이트는 일반적인 라미네이트와 다르게 강도가 우수하기 때문에
충격에 쉽게 부서질 수 있던 라미네이트의 내구성이 3배나 뛰어나 안전하게 이용을 해보실 수 있습니다.
또한 자연광에서도 자연스러운 투명감을 가지고 있으며 색상도 자연치아와 유사한 99% 재현을 합니다.
변색이 올 수 있음
덜투명
내구성 약함
치유필름 이맥스라미네이트
변색 없음
자연치아에 가까움
뛰어난 내구성
01
02
03
CURE FILM LAMINATE
무삭제 치유필름 라미네이트
안전하면서도 가장 자연치아와 가까운 라미네이트
심다치과 무삭제 치유필름 라미네이트
Before & After
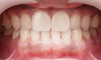
심다치과 : 환자사례치료 전

앞니길이가 달라서 치아가 삐뚤어보여요.
치료 후

라미네이트로 치아의 너비와 길이를 조절하고 각도를 정중선에 맞춰 균형미를 부여하였습니다.
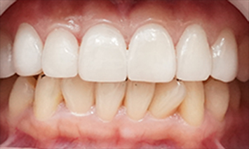
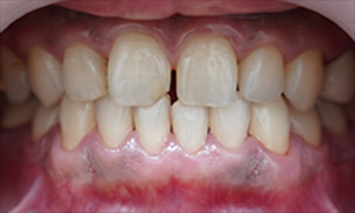
치료 전

앞니전체가 고르지 않고 사이가 벌어졌어요.
치료 후

라미네이트로 전체치아를 디자인하여 균형과 치열을 맞췄습니다.
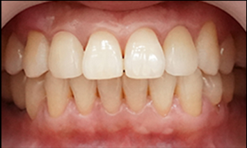
치료 전

앞니 사이가 벌어져서 심미적인 컴플렉스가 있어요.
치료 후

라미네이트로 치아사이 빈 부분을 채워 균형미를 부여하였습니다.
치료 전

단기간에 불규칙한 치열을 교정시키고 싶어요.
치료 후

라미네이트로 총 6개치아를 고르게 디자인하여 규칙적인 교열로 교정했습니다.
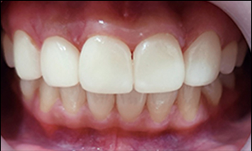
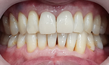
치료 전

벌어진 앞니로 웃을 때 신경쓰입니다.
치료 후

라미네이트로 앞니 사이를 교정하고 각도를 정준선에 맞춰 균형미를 부여하였습니다.
01
02
03
04
05