ABOUT SIMDA
심 : 일반진료
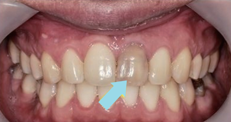
신경치료 중 치료는 마지막까지 하지 않고 방치하게 되면 치아는 신경이 없는 상태로 방치되는 것이기 때문에 까맣게 변색이 됩니다.
이런 경우 크라운이나 미백으로 회복시켜 주어야 합니다.


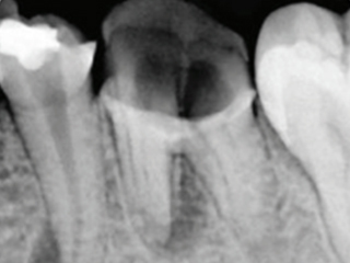
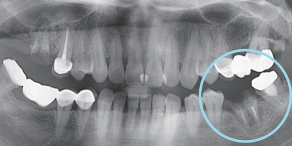
뿌리가 곪으면서 턱뼈 내부에 농 주머니가 생기게 됩니다.




치아가 녹아버리거나 부러져버리는 상황에 이르게 됩니다.


신경치료 후 크라운, 필수입니다.


신경제거 후 신경으로부터 받던 영양분을 공급받지 못해 약해진 치아는 작은 충격에도 금이 가거나, 부러지거나, 깨져버리기 때문에 단단한 크라운을 씌워 치아를 보호해야 합니다.

신경치료를 위해 치아가 아래ㆍ위 치아가 닿지 않게 조절을 하며 치아에 구멍을 뚫어 놓기 때문에
씌워야 기능을 수복할 수 있습니다.

신경치료의 과정은 보험이 되는 항목이지만 치아를 씌우는 것은 비보험으로 진행됩니다.