ABOUT SIMDA
심 : 일반진료INLAY TREATMENT
법랑질 손상

법랑질+상아질 손상

법랑질+상아질+신경 손상

법랑질+상아질+신경+뼈 손상

충치 부위를 제거하고 손실된 부위의 본을 떠 기공작업을 통해 충전물을 만드는 방식으로 간접 수복법 또는 인레이라고 합니다.
주로 치아끼리 맞닿는 부분 또는 씹는 면의 깊고 넓은 충치 부위에 이러한 치료를 시행하게 됩니다.

1단계에서 더 진행된 충치는 넓이가 더 커지고, 깊이도 더 깊어진 상태이기 때문에
광중합 시 수축 증상이 발생하는 레진 치료가 부적합 합니다. 때문에 레진 치료 대신
인레이 치료를 해주어야 합니다.

충치를 치료하지 않고 방치하게 되면 충치가 계속 진행되어 결국 신경치료를
해야 하는 상태가 되며, 심하면 발치까지 해야 하는 상황까지 초래됩니다.

충치 제거 후 환자분의 충치 제거 부위를 본 떠 기공소에서 환자분에게 꼭 맞는 보철물을 만드는 것에 4~5일 정도가 소요됩니다.
충전한 레진을 굳히는 과정에서 수축이 일어나는 레진 치료와 달리 기공소에서 환자분에게 완벽하게 맞도록 세밀하게 제작됩니다.
치아와 비슷한 성질과 색상을 띄는 레진은 기존 치아와의 어울림이 좋아 심미성이 높습니다.* 골드인레이 제외
골드 인레이의 경우 열전도율이 높아 차고 뜨거운 음식물을 섭취할 때 약간의 시림 증상이 있습니다.
| 구분 | 심미 인레이 | 골드 인레이 |
|---|---|---|
| 종류 | ![]() |
![]() |
| 장점 | 치아색과 유사하여 주변 치아와 잘 어울려 심미성이 좋으며, 강도, 안정성이 좋습니다. | 강도가 높아 깨질 위험이 없으며, 생체친화적 금속으로 알러지 반응이 없습니다. 연성과 전성이 뛰어나 사용하면 더욱 치아에 꼭 맞게 변형합니다. |
| 단점 | 심미성, 강도, 안정성, 정밀성에 모두 우수한 만큼 가공 시 높은 기술력을 요구하기 때문에 높은 가공료와 재료비를 요구합니다. | 높은 열전도성, 비심미성, 뛰어난 연성과 전성으로 뒤틀릴 수 있습니다. 깨지지 않는 성질 때문에 충격에 치아가 먼저 깨져버립니다. |

X-Ray 촬영 후 치료의 필요 유무와 치료 방향을 결정합니다. 치료 전 정확한 진단은 치료의 성공률을 높이는 가장 기본적이고 확실한 방법입니다.

충치를 깨끗하게 제거하고 신경보호제를 충전합니다.

본을 뜨기 위해 치아를 깨끗하게 다듬습니다.

보통 ‘본을 뜬다’고 표현하는 과정으로 환자분에게 딱 맞는 인레이 제작을 위한 과정이며, 본을 뜬 후에는 *임시약재를 충전해 둡니다.
* 임시약재는 잘 떨어지니 끈적이는
채득한 인상으로 환자에게 딱 맞는 인레이를 제작합니다. 인레이 제작은 4~5일 가량 소요됩니다.

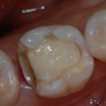
임시약제를 제거하고 제작된 인레이를 셋팅합니다. 치아와 더 잘 어우러지도록 다듬습니다.
치아 사이와 큰 어금니의 충치치료

충치 확인

충치 제거

본을 뜬 후 인레이 맞춤 제작

인레이 부착

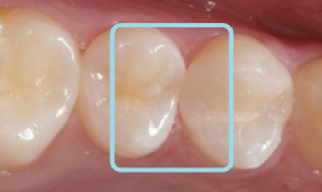
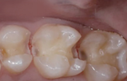
Before

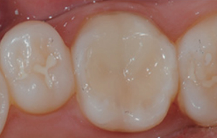
After

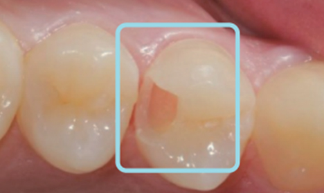
Before

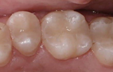
After



