ABOUT SIMDA
심 : 일반진료
환자분을 위한 차별화된
맞춤 스켈링

디스클로징을 통한
정밀한 세균검사

환자분 맞춤
구강위생교육

스켈링 전 통증 및 시린증상 감소를
위한 마취 가글액 사용

환자분을 위한 차별화된
맞춤 스켈링

치아 및 잇몸 마사지
전문가 칫솔질 제공

세균과 세균의 대사물질, 타액 등으로 구성됩니다.
이것은 식사 후 수분 내에 치아의 거의 모든 면을 덮게 됩니다.
치태내의 세균은 산성의 물질을 분비하는데 이 산성물질에 의하여 치아는 부식되어 충치가 됩니다. 또한, 치태내의 세균들은 독소를 분비하여 잇몸에 염증을 일으키는데 치은염 또는 치주염이 됩니다.

치태가 72시간 동안 제거되지 않고 방치되면 단단한 치석이 되어 잇몸에 염증을 일으키는 주요 원인이 됩니다. 이 외에도 큰 문제는 치석으로 인해 표면이 거칠어진 치아의 표면은 치태가 달라 붙기에 적격이라는 것입니다. 치석으로 거칠어진 치아는 치태를 더욱 잘 달라붙게 만듭니다.

치석은 양치질로 어느정도 제거가 가능한 치태와 달리 물리적인 힘을 들이지 않으면 제거가 어렵습니다.
치석이 계속 쌓이면 치아와 잇몸 사이가 벌어지게 되고 그 공간으로 세균이 감염되어 염증을 발생시킵니다.
스켈링은 잇몸 가까이 붙은 치석을 제거하여 치아를 잇몸 질환으로부터 예방하는 기능을 하기 때문에 건강한 치아와 잇몸을 위해서는 주기적인 스켈링이 필요합니다.

잇몸과 치조골이 2.3mm 간격을 유지

치아와 잇몸 사이로 음식물이 끼면서
치태가 굳어져 치석을 형성: 잇몸과 잇몸뼈에 공간이 생김
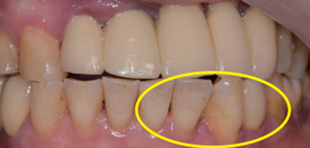
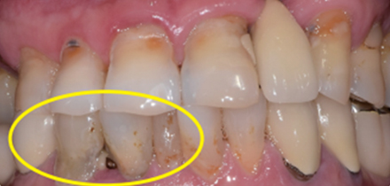
‘ 잇몸이 내려갔어요! ’

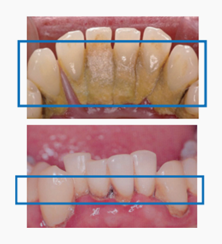
치료 전

치료 후
치석과 염증이 제거되며 스켈링 전보다 다소 잇몸이 내려가고, 치간이 넓어진 느낌에 놀라실 수도 있습니다.
하지만 이는 치석과 염증이 있던 공간이 비워지고 잇몸이 원래의 잇몸뼈 부근으로 자리를 잡으며 생기는 변화입니다.
치석과 염증 등으로 잇몸과 잇몸뼈의 공간이 4mm 가량이나 벌어져있던 치료 전과 비교했을 때 치료 후에는 잇몸과 잇몸뼈의 공간이 2~3mm를 유지할 수 있게 됩니다.


꼼꼼하지 못한 양치질은 치간에 음식물 등 세균을 남기고, 그 세균들은 치태가 되어 구강 내에서 충치를 유발합니다.
제거되지 않고 방치된 치태는 단단한 치석이 되어 치아와 잇몸사이를 벌어지게 만들고, 치주질환을 유발합니다. 건강한 치아와 건강한 잇몸을 위해서는 꼼꼼한 양치질과 치실, 치간칫솔 등을 이용한 철저한 치간 관리가 필요합니다.
지혈을 위해 침, 피는 삼켜주세요.
자극적인 음식을 피하세요.
음주, 흡연은 염증을 유발합니다.
이가 시릴 수 있습니다.
잇몸을 깨끗하게 유지하세요.
미지근한 물로 양치하세요.