ABOUT SIMDA
심 : 일반진료
치주낭 측정

세균검사(디스클로징)

그렇기 때문에 치아와 잇몸 사이 공간으로 음식물 등이 끼이게 됩니다.
치아와 잇몸 사이의 잔류 음식물 등이 제거되지 않고 48시간 동안 잔류하게 되면 그 공간의 잇몸뼈를 녹이고, 염증이 점점 퍼져 나갑니다.
이런 염증은 잇몸 속에서 진행되기 때문에 스스로 치료할 수도 제거할 수도 없습니다.

잇몸과 치조골이 2.3mm 간격을 유지

치아와 잇몸 사이로 음식물이 끼면서
치태가 굳어져 치석을 형성: 잇몸과 잇몸뼈에 공간이 생김

잇몸치료란 잇몸질환의 원인이 되는 염증과 오염된 조직을 제거하여
잇몸이 더 안좋아지는 것을 예방하는 치료입니다. 동시에 건강한 잇몸으로의
재생을 돕는 전반적인 치료입니다. 치료도 중요하지만 치료 후 관리와
주의사항을 잘 지켜주시는 것 역시 중요합니다.
양치가 잘 안된 치아는 양치 후 남은 미세한 잔여 음식물 혹은 세균들이 쌓이게 됩니다.
그것들은 단단한 치석이 되어 치아와 잇몸 사이를 벌어지게 만들고, 잇몸에 염증을 일으킵니다.
잇몸 염증은 대부분 만성으로 진행됩니다. 잇몸치료는 잇몸뼈를 재생시키는 치료가 아닌 더 이상의
잇몸병 진행을 막아 잇몸이 급속도로 망가지는 것을 방지하는 치료입니다.

증상

구강내사진

치주낭측정검사

엑스레이 촬영

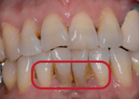
치주낭이란 치아와 잇몸사이에 떠있는 공간을 의미하여, 치아와 잇몸 사이에 치석 등이 끼어 벌어지고, 염증을 일으켜 더욱 커집니다.

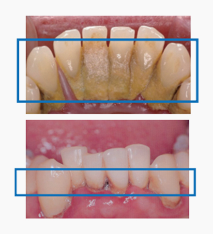
치아 겉면의 치석만 확인됨

육안으로 확인할 수 없었던 치아
뿌리와 잇몸 속의 염증이 확인됨

육안으로는 별 다른 문제를
확인할 수 없음

육안으로 볼 수 없는 치아의 뿌리
깊숙한 곳의 염증이 확인됨
육안만으로 확인하기 어려운 치아의 손상도 또는 치아 뿌리 쪽의 염증 등을 확인할 수 있습니다.
전반적인 치주골 높이는 물론 눈에 띄지않는 치주질환의 진단에 필요한 과정입니다.

잇몸이 선홍색이며, 피가 나지않고
음식물이 끼이지 않음

잇몸질환 예방 차원에서 칫솔질로 제거되지 않는
치석을 제거합니다. 비외과적 시술로 마취는
하지 않습니다.

출혈이 간헐적으로 있지만
자각 증상은 없음

스켈링보다 치주낭 깊은 곳의 치석을 제거하여
치아 표면을 매끄럽게 하는 시술로 보통은 마취를
하지 않지만 통증의 정도에 따라 마취를 하기도 합니다.

식사 후 꼭 이쑤시개가 필요하고 손으로
만졌을 때 움직임도 있음

스켈링보다 치주낭 깊은 치석을 제거함과 동시에
염증까지 제거하는 외과적 시술로 마취 후 시술합니다.
치아 뿌리쪽의 치석을 제거하고 잇몸벽의 염증과 괴사
조직을 제거하여 치아뿌리 쪽을 매끄럽게 합니다.
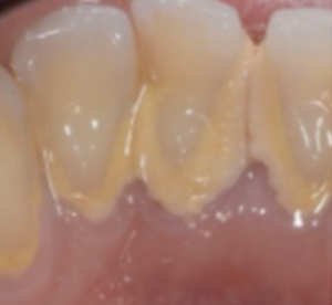
‘ 잇몸이 내려갔어요! ’

치료 전

치료 후
치석과 염증이 제거되며 스켈링 전보다 다소 잇몸이 내려가고, 치간이 넓어진 느낌에 놀라실 수도 있습니다.
하지만 이는 치석과 염증이 있던 공간이 비워지고 잇몸이 원래의 잇몸뼈 부근으로 자리를 잡으며 생기는 변화입니다.
치석과 염증 등으로 잇몸과 잇몸뼈의 공간이 4mm 가량이나 벌어져있던 치료 전과 비교했을 때 치료 후에는 잇몸과 잇몸뼈의 공간이 2~3mm를 유지할 수 있게 됩니다.